Septoplasty

Surgery

in

Dallas,

Texas

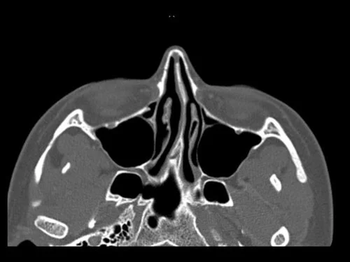
Septoplasty is a surgical procedure that is used to straighten a deviated septum. The nasal septum separates the two nasal cavities. The nasal septum may be deviated because you were born with a cooked septum or it grew into a crooked shape. A deviated septum can restrict the flow of air through your nose making it difficult to breath.

Depending on the shape of the septum, you may experience breathing difficulty on one or both sides of your nose. Some degree of septal deviation occurs in almost everyone. Reasons why more severe septal deviation can occur are related to abnormal growth, trauma or previous surgery. Symptoms such as difficulty breathing through the nose or intense snoring may indicate the need for a septoplasty. Deviation of the nasal septum frequently gives the nose a C-shape or crooked appearance, but occasionally the nose may appear straight while the septum deeper in the nose is deviated.

Dr. Derderian’s goals for your Rhinoplasty

Dr. Derderian’s goal is to relieve the nasal airway obstruction caused by septal deviation and to refine the appearance of the crooked nose to look straight and natural. Septoplasty can be combined with cosmetic rhinoplasty procedures to improve the appearance of the nose further.

  • Good candidates for septoplasty are healthy. You may benefit from septoplasty if:

    · You have been diagnosed with a deviated septum

    · You have difficulty breathing through your nose

    · Have a crooked nose especially after trauma

  • This is a common question. Dr. Derderian bases the timing for septoplasty based upon the severity of the child’s symptoms. Previously, there were concerns for performing septoplasty before the nose was done with growth. Accumulating evidence suggests that septoplasty performed in childhood is safe, with minimal negative affect on growth of the nose. Early septoplasty may even have positive effects on facial growth.

  • During a septoplasty, Dr. Derderian removes abnormally curved bone and cartilage from the septum. He then repositions the nasal septum to the midline while using grafts from the removed portion of the septum to maintain the new straightened shape. He is usually able to work through incisions inside the nose, but it is occasionally necessary to make a small incision between the nostrils. Depending on the shape of the nasal bones, it may also be necessary to break the nasal bones so they can be repositioned. Repositioning of the nasal bones is very common in septoplasty performed to correct a crooked nose and deviated nasal septum due to trauma. Soft silicone splints are commonly placed in the nose after surgery to support the septum in its new position.

  • A splint is often placed across the bridge of the nose to remind the patient not to touch their nose. If an incision between the nostrils is used the sutures are removed in 5-7 days. The soft silicone splints are removed at this time also. You should be able to return to work or school after 1 week of recovery. During the first 3 weeks of your recovery you should not blow your nose. Patients are advised to avoid strenuous activities that may increase your blood pressure for 3 weeks.

  • For septoplasty, a straighter nose is appreciable immediately. There is no appreciable bruising or swelling after 2-3 weeks. Most of the swelling resolves in 6 weeks. The small amount of residual swelling is completely resolved in 6-12 months of the procedure.

  • Septoplasty is frequently covered by insurance. If the patient is paying out of pocket, the costs include the anesthesia fee, facility fee and surgeon’s fee. This will be covered during your consultation with Dr. Derderian.

  • Dr. Derderian is board certified by the American Board of Plastic Surgery. Nasal surgery has been a major focus focus of Dr. Derderian’s practice for over ten years. He frequently performs septoplasty alone for isolated functional issues as well as in combination with cosmetic rhinoplasty procedures.

Book a consultation with Dr. Derderian

Book Now